From the first X-rays to futuristic 3-d body scanners, PubSci explores the history and amazingly sci-fi future of medical imaging and diagnostics.
PubSci is a ‘pay-what-you-can’ event, your contributions are what keep it going. Please consider contributing via Eventbrite when booking.

For our second talk of our 2026 programme, PubSci is delighted to welcome Professor Mark Lythgoe to the Old King’s Head on Wednesday 18th February when he’ll be talking about the revolutionary history, ubiquitous present, and Sci-Fi-like future of biomedical imaging.
What is biomedical imaging?
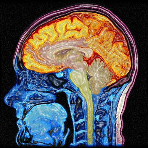
Have you ever wanted to look inside your head? Ever wondered what an MRI is? Ever dreamt that Star Trek’s all-in-one “medical tricorder” might become a reality? Or just want to see stunning images of things normally hidden from our sight? Biomedical Imaging is the life-saving imaging technology which grants awe-inspiring insights into the inner workings of the human body and allows medical practitioners to diagnose hidden symptoms of illness.

In Naked to the Bone, Mark – who is director of UCL’s Centre for Advanced Biomedical Imaging – explores the history and development of imaging before looking to the next generation of biomedical 3-d, full colour, multi-channel imaging that is even today already becoming a reality. Not only is the topic fascinating, the resulting images are truly stunning – and truly life-saving.

PubSci events book up fast and always sell out. Remember to reserve you place on Eventbrite ASAP.
Scroll down for ticketing options and to read about this month’s speaker.
• • •
How to Book Tickets
PubSci talks are pay-what-you-can: You can make a contribution when booking on Eventbrite. We have no other source of funding. There are two ticket options:
Book for one + Support PubSci (max 1 ticket) if you prefer to contribute when booking – this option also reserves you one spot at the event. You may need to scroll down to see this option on Eventbrite.
Book without donating (max 4 tickets) if you prefer to put cash in the pot on the night.
Doors open at 6.30 for a 7pm start. Talks generally run for ~45 minutes and are followed by a Q&A session. The Old King’s Head has a happy hour before 7pm, and the kitchen serves excellent pub grub. The nearest tube is London Bridge — full address below and on the booking page.
• • •
About the speaker
Professor Mark Lythgoe is Founder and Director of the UCL Centre for Advanced Biomedical Imaging, one of the world’s leading imaging centres, developing the next generation of imaging technologies.

He is Professor of Biomedical Imaging at University College, London, and Director of Biomedical Imaging Research at the Francis Crick Institute.
Mark is a pioneer in the development of imaging technologies for diagnosis and treatment and has appeared in numerous radio and TV programmes including BBC Radio 4’s The Life Scientific.
He’s published over 300 medical and scientific papers – including in Nature and The Lancet – and his ongoing research concerns a device which combines diagnosis and therapy into a single handheld “theranostic” MRI system.
Mark’s multidisciplinary approach, bridging healthcare engineering and clinical medicine, has led to numerous imaging breakthroughs as well as contributing significantly to translating new imaging developments into clinical practice.
He was awarded the Royal Society of Medicine Ellison–Cliffe Award in 2021for his ‘contribution of fundamental science to the advancement of medicine’ and in 2023 he received the prestigious IET Achievement Medal for a “major and distinguished contribution in Medical Imaging”.

For his contributions to communicating science, Mark received the Neuroscience Prize for Public Understanding from the British Neuroscience Association, Dorothy Hodgkin Award, Biosciences Federation Science Communication Award and was made a Fellow of the British Science Association.
Remarkably, he’s achieved all this despite failing his A-levels, never going to university for an undergraduate degree and having a CV which he describes in his inimitable way as having “more holes than a Tetley tea bag”.
PubSci is delighted to welcome Mark as our February speaker.
• • •

See the rest of our current programme.
To make sure you don’t miss out on future events, subscribe to our Google Calendar to be the first to know when new talks are scheduled, and follow PubSci’s events on Eventbrite to be notified when tickets are available. You can also sign up to our own mailing list on any page on this site.
• • •
PubSci is entirely funded by audience contributions and has no other income.
As a Pay-What-You-Can event, we don’t charge a fixed price for our talks, so anybody who wants to come can come. Think of it as “Free, with a donation”, which can be made when registering on Eventbrite or by putting a few pounds in the beer mug which is passed round on the night. You can also contribute digitally through our TipJar. Please help PubSci continue putting on events.
We aim to keep PubSci accessible for all, although it is unsuitable for under 18s as we meet in the function room of a pub. Regrettably, there is no wheelchair access.
Check out the Future Events page where you can also subscribe to our Google Calendar so PubSci events automatically appear in your own Calendar. You can find all our links on our LinkTree.
• • •
PubSci is organised and hosted by science communicator, Richard Marshall, assisted by Mike Lucibella. It usually takes place on the third Wednesday of the month, upstairs at the Old King’s Head near London Bridge Underground (Borough High Street east side exit). Join us every month except December for your regular helping of Sipping, Supping & Science.


Address:
The Old King’s Head (upstairs room)
King’s Head Yard
45-49 Borough High Street
London SE1 1NA